Profile
Dr. Jeff Harrie, Cosmetic Dentist at Designer Smiles in Fargo, ND
Quick Overview
Designer Smiles, led by Dr. Jeff Harrie, is a highly-rated dental practice in Fargo, ND, specializing in cosmetic dentistry, dental implants, and sedation dentistry. They are committed to providing personalized and precise dental care to help patients achieve their ideal smile.
| Category | Details |
|---|---|
| Dentist: | Dr. Jeff Harrie, DDS |
| Practice Name: | Designer Smiles |
| Address: | 3525 25th St S, Fargo, ND 58104 |
| Phone: | (701) 298-9400 |
| Website: | fargodentalcare.com |
| Office Hours: | Open 7 days a week |
| Key Specializations: | Cosmetic Dentistry, Sedation Dentistry, Dental Implants |
About Dr. Jeff Harrie
Dr. Jeff Harrie, DDS, leads Designer Smiles with a philosophy rooted in artistry and precision. He is dedicated to helping each patient attain their unique ideal smile through customized care.
With an emphasis on advanced cosmetic procedures, Dr. Harrie brings a wealth of experience and extended knowledge to transform smiles and enhance oral health.
Education & Credentials:
- DDS (Doctor of Dental Surgery)
- Experienced practitioner with extended knowledge in cosmetic dentistry
Services Offered at Designer Smiles
Designer Smiles provides a comprehensive range of dental services, focusing on aesthetic results and patient comfort. From routine check-ups to advanced smile transformations, Dr. Harrie and his team are equipped to meet diverse dental needs.
General Dentistry
- Professional Cleanings and Exams
- Tooth-colored Fillings
- Restorations (Crowns, Bridges)
Cosmetic Dentistry
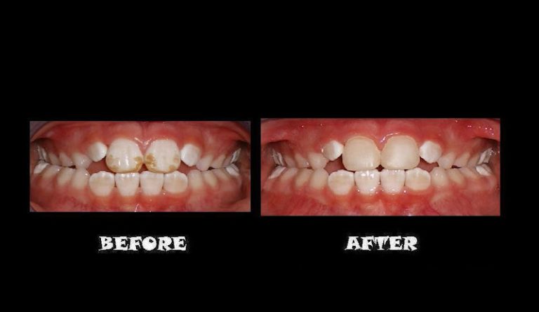
- Cosmetic Smile Makeovers: Comprehensive plans to enhance your smile’s appearance.
- Teeth Whitening
- Porcelain Veneers
- Dental Bonding
Advanced & Specialty Services
- Sedation Dentistry: Options available to ensure a comfortable and anxiety-free dental experience.
- Dental Implants: Modern solutions for replacing missing teeth, restoring function and aesthetics.
Patient Information
At Designer Smiles, your comfort and understanding are paramount. Here’s what you need to know to prepare for your visit.
Insurance & Payment
Specific accepted insurance plans and payment options are not detailed in our current information. We recommend contacting Designer Smiles directly at (701) 298-9400 to inquire about your insurance coverage and available financial plans.
New Patient Process
While a step-by-step new patient onboarding process isn’t explicitly outlined, Designer Smiles emphasizes providing highly personal and customized care from your very first visit. Expect a thorough consultation to discuss your unique dental needs and goals.
Office Amenities
- Free onsite parking available for your convenience.
- The office is presumed to be in an easily accessible location.
Location & Contact
Designer Smiles is conveniently located in Fargo, ND. Feel free to contact us with any questions or to schedule your appointment.
Contact Designer Smiles
Address: 3525 25th St S, Fargo, ND 58104
Phone: (701) 298-9400
Website: www.fargodentalcare.com
Free onsite parking is available for all patients.
Patient Reviews
Designer Smiles prides itself on high patient satisfaction, reflected in excellent online reviews.
The practice is highly rated with approximately 4.9 stars from 235 reviews across various platforms, indicating consistently positive patient experiences.
★★★★★ (4.9 / 5 Stars)
Patients frequently praise Dr. Harrie’s expertise, the friendly staff, and the comfortable atmosphere, especially highlighting the positive outcomes of their cosmetic and sedation dentistry experiences.
Frequently Asked Questions
| Day | Open Hours |
|---|---|
| Sunday | Closed |
| Monday (Memorial Day) | Closed |
| Tuesday | 7:30โฏam – 4:30โฏpm. |
| Wednesday | 7:30โฏam – 4:30โฏpm |
| Thursday | 8:30โฏam – 4:30โฏpm |
| Friday | Closed |
| Saturday | Closed |
Map
Sorry, no records were found. Please adjust your search criteria and try again.
Sorry, unable to load the Maps API.





